Dr. Gabriel Baumeier – Referência nacional em alinhadores invisíveis
Transforme seu sorriso com a melhor ortodontia e estética em Balneário Camboriú!
Exclusivo para moradores de Balneário Camboriú e região
Alinhamento invisível para um sorriso perfeito
Você está com os dentes tortos?
E se eu te contasse que existe um tipo de aparelho que é transparente, confortável, fácil de higienizar.
Esse é são os alinhadores invisíveis e se você quer saber mais, toca no botão e deixa a minha equipe te mostrar o quanto o seu sorriso que tanta sonhou está próximo.
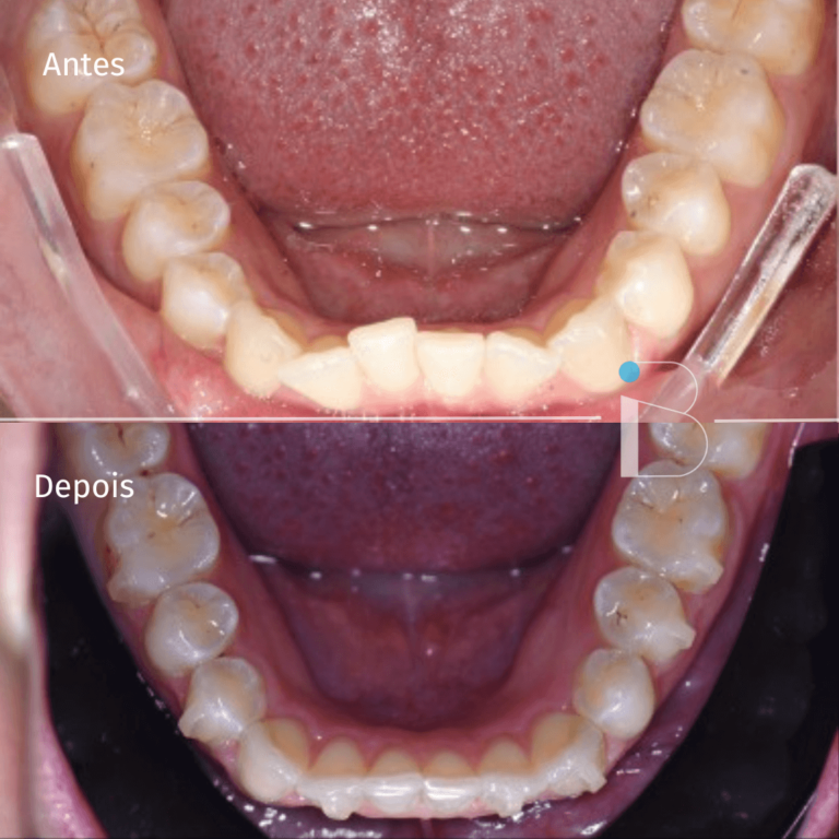
Veja a transformação
VEJA COMO É FÁCIL CORRIGIR SEU SORRISO COM NOSSOS ALINHADORES INVISÍVEIS:

Primeiro, você fará uma consulta com nosso dentista especializado em ortodôntica, que examinará seus dentes para saber qual tratamento com alinhador Invisível é o ideal

Em seguida, será feito um escaneamento dos seus dentes, que será usado para criar um modelo 3D. Com base nesse modelo, seus alinhadores personalizados serão produzidos

Usar os alinhadores diariamente, removendo-os apenas para comer e escovar os dentes. A cada duas semanas, você mudará para um novo conjunto de alinhadores, até completar o tratamento.

Diretor-clínico Ortodontista

Clínica Geral

Dentística e Prótese

Suporte ao Paciente

Gestora

Gerente/recepcionista

Auxiliar em Saúde Bucal

Comercial
Veja o que os nossos pacientes estão falando sobre nós!
Dulciane Souza2025-04-02Trustindex verifica se a fonte original da avaliação é Google. Gostei muito do atendimento! Consultei com a Heloísa, continuarei o tratamento e marquei para mau marido e filhos. Ana Paula Bomfim Viehbeck2025-03-28Trustindex verifica se a fonte original da avaliação é Google. Excelentes profissionais e atendimento. Daniela Zimmermann Schmitt2025-03-19Trustindex verifica se a fonte original da avaliação é Google. Todos os profissionais atendem com excelência os clientes. Liana Sampaio2025-03-19Trustindex verifica se a fonte original da avaliação é Google. Muito bom, dr Gabriel é ótimo, tem paciência, explica tudo... meus dentes já corrigiram em 6 meses mas preciso usar mais pra nao entortar de novo. Porém o aparelho Aqua ( ou Invisalign e similares) é um tratamento um pouco chatinho, faz bastante pressão, é meio incômodo. Eu pensei que era mais tranquilo, mas me decepcionei um pouco por isso... rs mas sinceramente, vale a pena pois meus dentes estão bem mais bonitos. Já vi relato de gente que diz que não lembra que esta usando, cada um é cada um, mas no meu caso, eu lembro sim o tempo todo ( socorro, tem dia que eu quero jogar fora, mas sou guerreira e não desisto kkk) e me estressa. Porém como falei, o stress compensa pois meu sorriso é outro. Sacrifício sim, mas por uma boa recompensa. :) Fernanda Eccel2025-03-18Trustindex verifica se a fonte original da avaliação é Google. Excelentes profissionais! Fui muito bem atendida desde o primeiro contato. A clínica é super organizada, o atendimento é cuidadoso e atencioso, e o resultado do meu tratamento foi incrível. Super recomendo!
Estamos no centro de Balneário Camboriú
Clique aqui para ativar o gps
Clique aqui para falar no whatsapp
Criado por Lion Ads PRO
Preencha os dados para falar com a nossa equipe